予防歯科
予防歯科についてご紹介いたします。
予防歯科とは、虫歯や歯周病などの病気にならないように予防をしっかりと行うことです。何の病気に対してもそうですが、健康的な毎日を送る為にはやはり予防が1番大事だといえます。特に歯科に関しては「不可逆的な病気(なってしまうと元には戻らない病気)」と言われており、特に予防が大事であるといえます。風邪など、かかっても治る病気と違い、虫歯になってしまった歯を放置しておいて治ることは絶対にありません。なってしまうと必ず悪い方向に進行していく病気で、なってしまったところは物理的に削ってとらないと治りません。そのため、虫歯になってから歯に対する処置を行うのではなく、常日頃から入念なケアを行い、歯と口の健康を守ることが大事だといえます。
クリーニング、メンテナンス
さとうデンタルクリニックでは、歯ブラシ、歯間ブラシ、フロスなどの口腔内の清掃指導を無料で積極的に取り組んでいます。
また、月1回のペースで来院される患者様のメンテナンスでは、
- 口腔内の汚れのチェック。どこに汚れが残ってるか鏡を使って確認し、必要に応じて歯ブラシなど実際の清掃器具を使って歯ブラシ指導
- 歯科医による虫歯のチェック
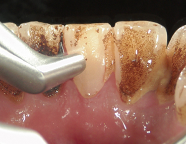
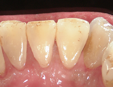
- 歯と歯茎の境目の掃除、歯石と着色の除去
- 歯と歯の間の掃除
- 歯の表面をゴムブラシで丁寧に磨き上げる
- 次回までに気を付けて磨いてほしいところなど再度確認
上記の手順で入念なメンテナンスを行っております。
また、オプションで歯の表面の結晶成分であるヒドロキシアパタイトの粉末を使用し、歯の着色汚れを取りながら歯の成分を補充する「ジェットクリーニング(歯のトリートメント)」もあります。
唾液検査システム
近年、口腔内の環境とさまざまな内科疾患との関係が示唆されおり、オーラルケアが重要視されています。当院では唾液を使用して口腔内の環境を測定する検査システムを導入いたしました。
当院が導入した唾液検査システムは、口腔内トラブルに関係が深い7つの項目を5分で同時測定するものです。
以前から虫歯になりやすいと感じている方、ブラッシングの効果を数値で見たい方におすすめです。
【特長】
■複数項目を同時測定
一度の検査で、口腔内トラブルに関係が深い7項目を測定できます。
| むし歯菌 | むし歯菌を中心とした、口腔内細菌の代謝活性を測定します。 |
| 酸性度、緩衝能 | 唾液の酸性度および緩衝能(唾液の酸を中和する能力)を測定します。 一般的に、唾液が酸性になりやすいと、むし歯を発症しやすいといわれています。 |
潜血、白血球、タンパク質 | 唾液中に存在する、赤血球、白血球、タンパク質を測定します。 歯周病では、口腔内出血のため唾液中にこれらの項目が検出されることがあります。 |
アンモニア | 唾液中のアンモニアは、口腔内の総細菌数と比例するといわれています。 唾液中アンモニアの測定により、口腔内細菌のレベルを推定します。 |
■簡単操作・迅速測定
試験紙に試料を滴下し、スタートキーを押すだけの簡単操作。5分後に測定結果が得られます。
■わかりやすい結果表示
測定結果は、レーダーチャートとともにビジュアル化し、わかりやすく表示します。
【検査ステップ】
3ステップの唾液検査で、簡単かつ迅速に測定結果を出すことができます。
【結果表示例】
唾液検査の料金
| 唾液検査 | ¥3,000 |
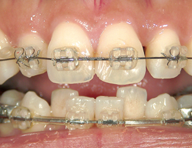
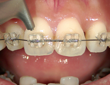
エアフローマスター
当院が導入しているエアフローマスターは、歯面清掃やポケット内洗浄をすることができます。この機種はエアフロー最上位機種で、歯の表面の結晶の乱れを補いながら歯周病のケアやインプラントのメンテナンスを行うことが出来ます。
※下図参照
また、エアーフローマスターを使用することで、歯を削ることなく着色汚れの除去が可能です。エアフローマスターで歯をコーティングすることができるので、以降の着色の予防にもなります。
さらに、エアフローマスターは、インプラントや矯正治療中の歯に対しても使用することが可能です。
エアフローマスターの料金
| ジェット(エアフロー) | ¥2,800 |
タンパク分解型除菌水(POIC水)とは
当院では、患者様のホームケアにPOIC研究会が推奨するタンパク分解型除菌水(POIC水)をお勧めしております。
POIC水とは、超純水と塩(海水の1/10以下)を電気分解して生成された水で、当院ではエピオス社が提供するタンパク分解型除菌水(POIC水)、「エピオス水」を使用しております。
電気分解によって生まれた「次亜塩素酸イオン」によって、ブラッシング(歯みがき)前のバイオフィルムやその他たんぱく汚れを分解し、ブラッシング効果を引き上げることができます。
また、当院で使用しているエピオスウォーターは、超純水と塩から作られています。 薬品を一切使っておりませんので、他の消毒液に比べて安全性が非常に高く、誤って飲んでしまっても問題ありません。また、電気分解によって発生する「次亜塩素酸イオン」によって非常に高い殺菌能力を持っています。
下図にもあるように人体には何よりも安全で口腔内の細菌の滅菌、殺菌にも何よりも効くという理想的なホームケア法です。
エピオスウォーターの料金
| エピオスウォーター | ¥2,800 |
| エピオス用ボトル | ¥500 |
当院の予防歯科
口腔内を健康な状態に保つためには日々の歯みがき(ブラッシング)などの「正しいセルフケア」が重要ですが、最初から正しいブラッシングができている方はほとんどいらっしゃいません。そのため、当院では正しい磨き方を指導させていただくことで、ホームケアのレベル向上をお手伝いさせていただいています。
また、日々のセルフケアだけではどんなに上手にブラッシングをしても落とせない汚れや、溜まってきてしまう汚れもあります。それらについては歯科医院などの専門機関で、歯医者や歯科衛生士によるクリーニング(プロフェッショナルケア)を定期的に受診することで対処することができます。
















