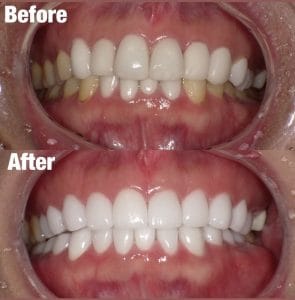
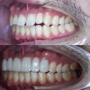
セラミック矯正

セラミック矯正とは

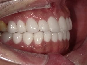
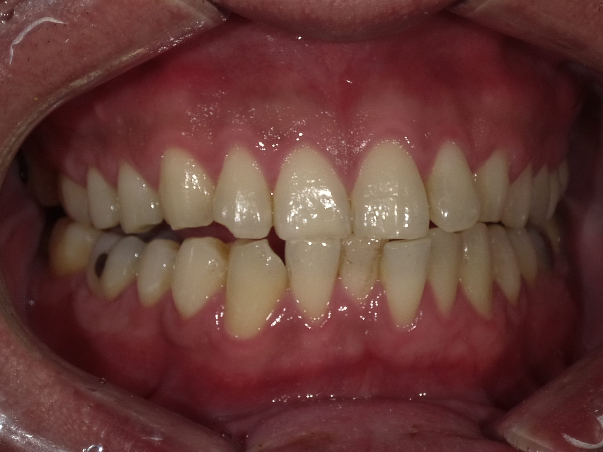
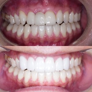
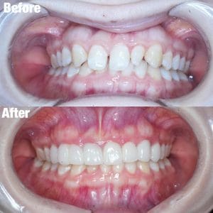
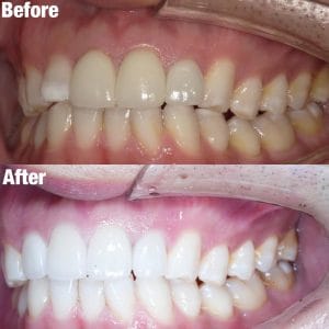
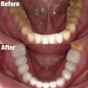
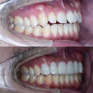
セラミック矯正とは、歯を削り、セラミックを被せることによって歯並びや歯の色、形を綺麗にする治療のことです。綺麗な透明感のある白い歯を、お顔に合った形と歯並びでお入れすることで、清潔感のある明るい口元にすることができる為、アンチエイジング効果やお顔立ちまで洗練させる効果もあります。患者様のその後の人生も明るく前向きなものにすることができる治療です。
ただ、この治療は、歯科医師の技術や経験やセンス、使用するセラミックのクオリティーによって仕上がりが全く異なってしまう治療でもあります。

当法人理事長執筆コラムです。
当法人のセラミック矯正に関して詳細にご紹介しております。
TVCM放映中

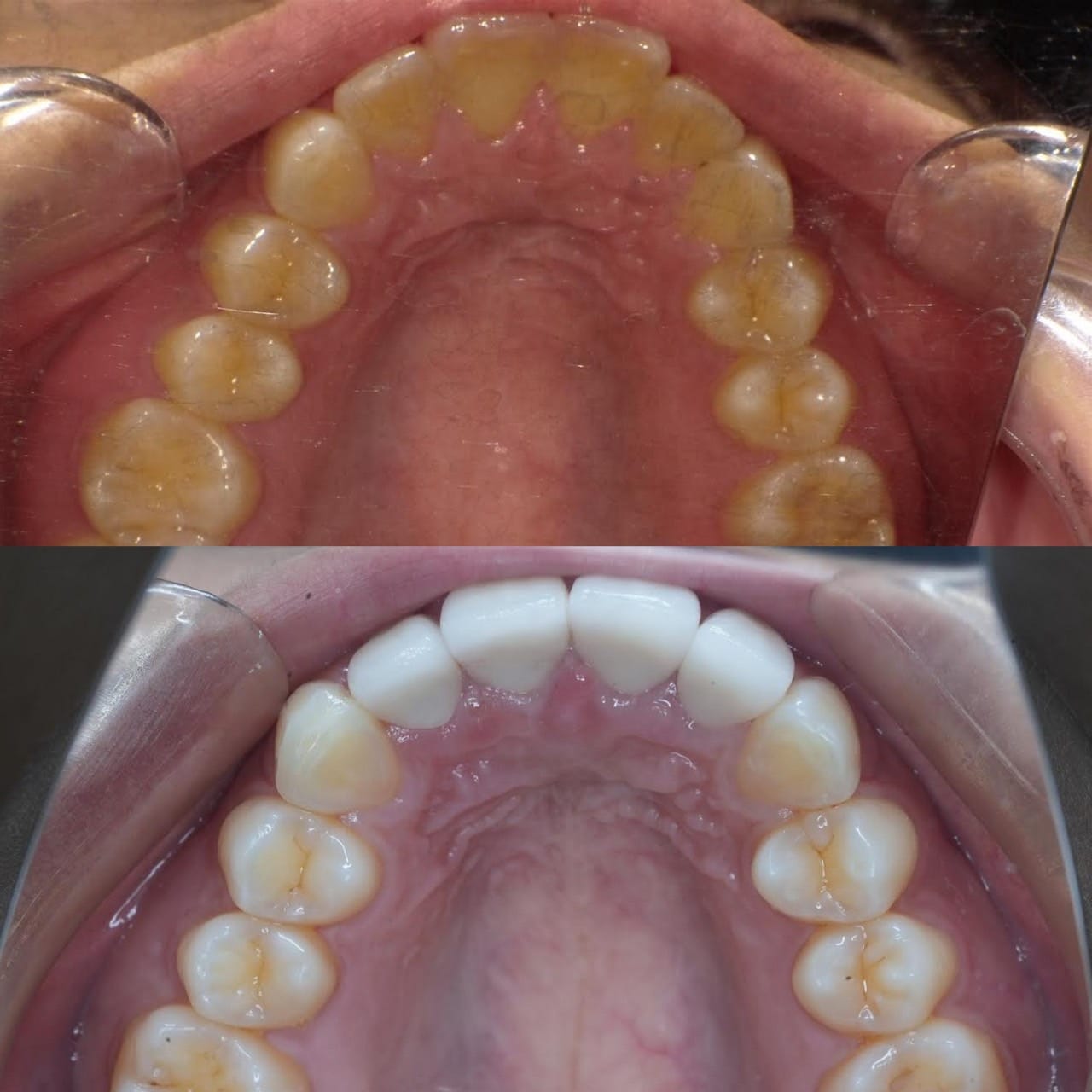
セラミック矯正は担当医によって大きな差の出る診療です。

セラミック矯正は歯科医の技術、センスで仕上がりが全く違うため、審美歯科の中でも担当する歯科医によって最も大きな差の出る診療です。
また、歯並びだけではなく顔貌(お顔立ち)まで綺麗にすることができる診療です。
当院では、患者様の主訴と、治療にかけられる費用、期間によって、ワイヤー矯正、インビザライン、インビザラインGo、セラミック矯正の中から治療法の特徴などをお話しし、その患者様に最適な治療を提案させて頂いておりますが、もし他院で治療したセラミックの仕上がりが気になる、やり直したいという場合は、まずはお気軽にご相談ください。
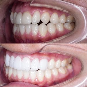
セラミックの仕上がりは「歯科医師の技術と外見的センス」「セラミックの品質」「技工士の技術」によって見た目も機能性も大きく異なります。また、セラミックをセットした後に歯茎が腫れてしまうのは、ほとんどの場合、きちんと適合良く入っていないために起こっています。その原因は歯科医師の技術不足セラミックの品質の悪さです。

セラミックの適合が悪いと起きること

  • 歯茎が腫れる
  • 歯周病の原因になる
  • 口臭の原因になる
  • 隙間から菌が入って虫歯になる
  • 歯ブラシを当てるとすぐ出血する
  • セラミックの持ちが短くなる

クリニックを選ぶポイント

  • 値段が安過ぎない
  • 症例実績が多い
  • 説明をしっかりしてくれる
  • 保証制度がしっかりしている
  • 歯だけではなく、お顔立ちのことも考えた治療ができる
  • 扱うセラミックや材料にこだわっている

セラミック矯正と矯正治療の違い

 

セラミック矯正と矯正治療の違いは以下の通りです。

セラミック矯正 矯正治療
治療期間

最短2回の来院

1週間~約1カ月

全体矯正:1年~3年

部分矯正:3ヶ月~5ヶ月

(+保定期間 矯正にかかった期間の倍)

費用

選んだセラミックの費用 x 治療する本数

全体矯正:約70万~

部分矯正:使用するワイヤーによって変動

     インビザラインgo 約45万

メリット

歯の形や色も変えることができる

治療期間が短い

セラミックにした歯は一生選んだ色をキープできる

※着色しない

歯を削らない

全体矯正の場合:不正咬合も治せる

デメリット(リスク)

歯を削る

歯を削るため、一時的にしみることがある

歯の向きを大きく変える時は神経をとらなければならないことがある

治療期間が長い

治療費が高額(全体の場合)

矯正期間中に虫歯歯周病になりやすい

保定期間(動かした歯が後戻りしないように保定装置をつける期間)がある

歯を削らずに治療することができる歯列矯正ですが、セラミック治療と比較すると長い治療期間、高額な治療費が必要です。
また、歯列矯正時に使用するワイヤーによって虫歯・歯周病にかかってしまうことも多く、結局歯を削ってしまうことも少なくありません。

セラミック矯正による審美性の向上

歯並びを変えることで、口元ばかりではなくお顔立ちもスッキリさせることができます。
(例)出っ歯の方の歯を小さくして内にいれるセラミック矯正をする事で、口元が引っ込んでスッキリする(Eラインが綺麗になる)だけではなく、口が閉じやすくなり閉口筋という口を閉じさせる筋肉が活発になったり軟組織もスッキリしてお顔立ちまで洗練させることができます。

セラミック矯正の流れ

1、カウンセリング、診断

主訴が何か(どこが1番気になる、どこまで綺麗にしたい)などを聞かせて頂くと同時に現状のお口の中の状況を確認させて頂きます。

2、治療計画の立案

いつまでに治したいなどのご希望や実際にかかってくる金額等のお話しをさせて頂きながらどこまで治すか、またどの順序で治療していくかを決めていきます。

3、治療

上記の1.2.で聞いたご希望と治療計画にのっとって治療します。

4、完成

5、メンテナンス

 

治療の流れの例

【例】

前歯を6本セラミック治療したい

1回目

問診、カウンセリング診断、仮歯の型取り

2回目

形成、セラミックの型取り、仮歯のセット

3回目

セラミックのセット

6本の治療でも最短で3回で完成します。
歯並びも仮歯の段階からきれいになります。
また、24本をセラミック治療する場合も来院回数は同じです。

この回数で治療できるのは理事長のみです。大型症例で理事長の診療をご希望の場合は予約時に「理事長希望」とお伝えください。

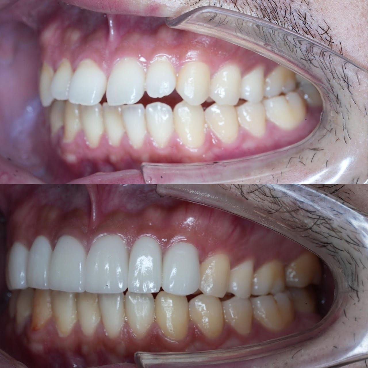
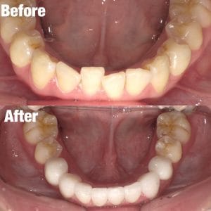
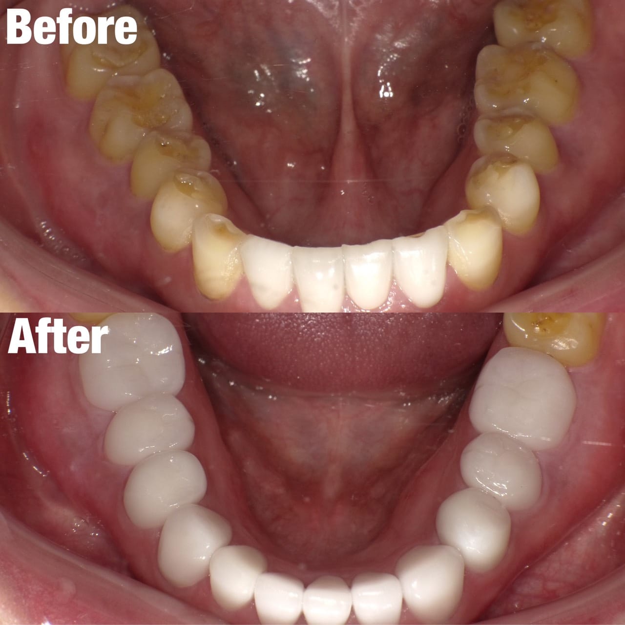
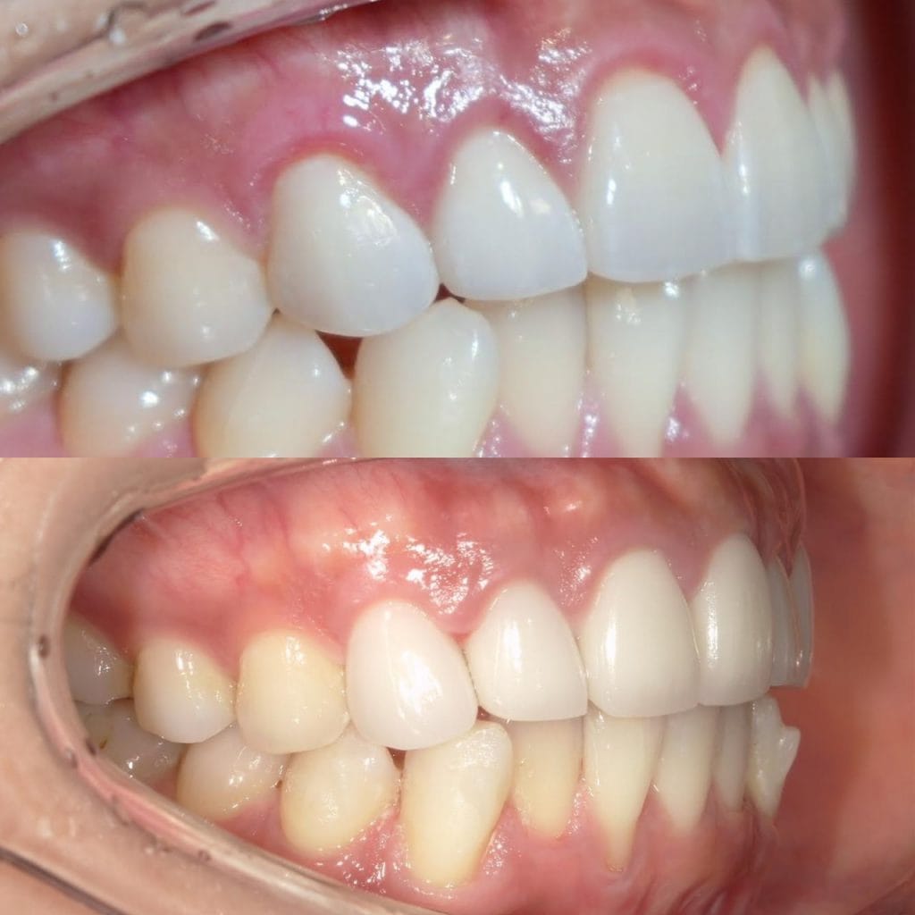
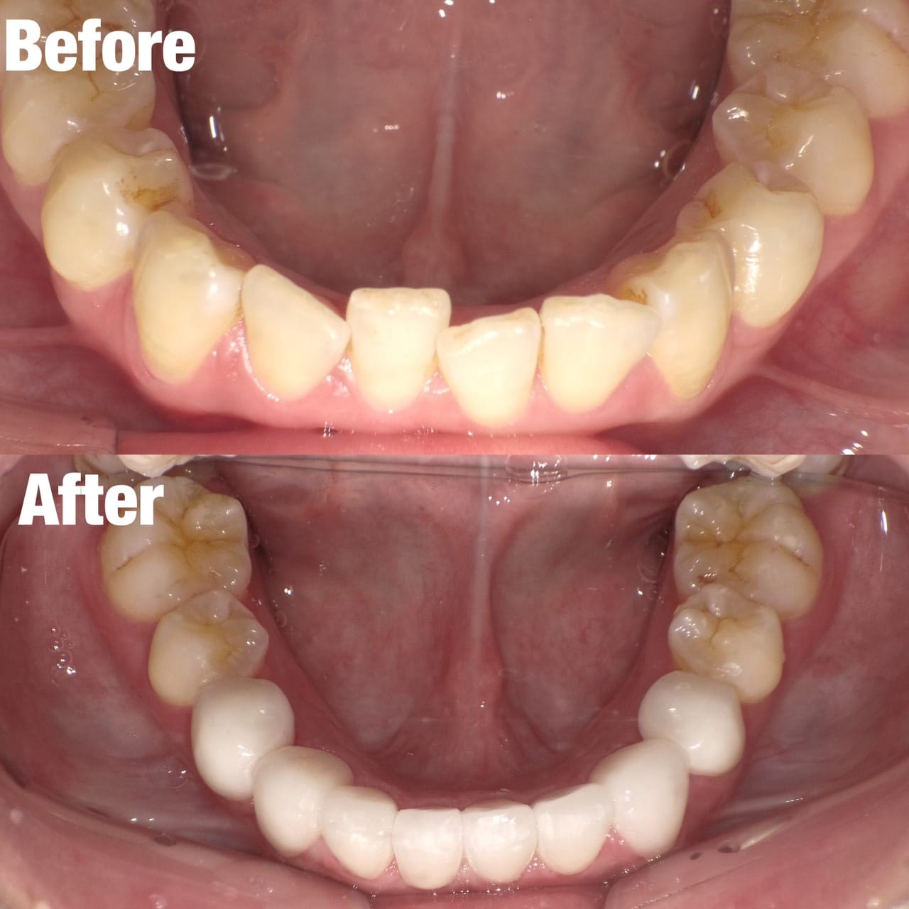
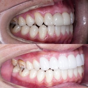
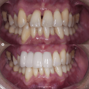
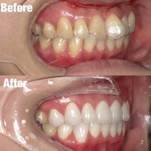
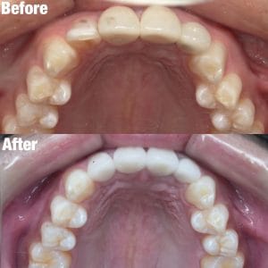
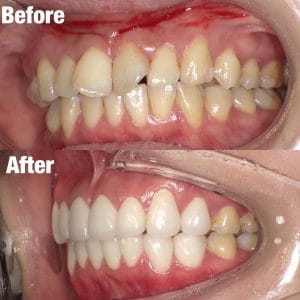
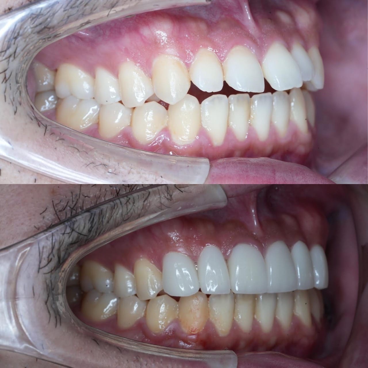
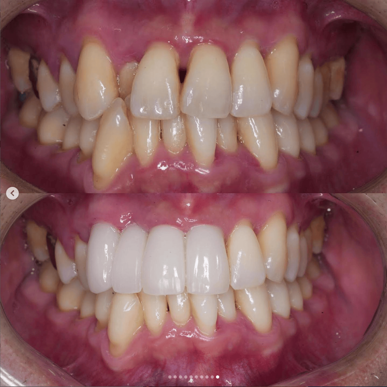
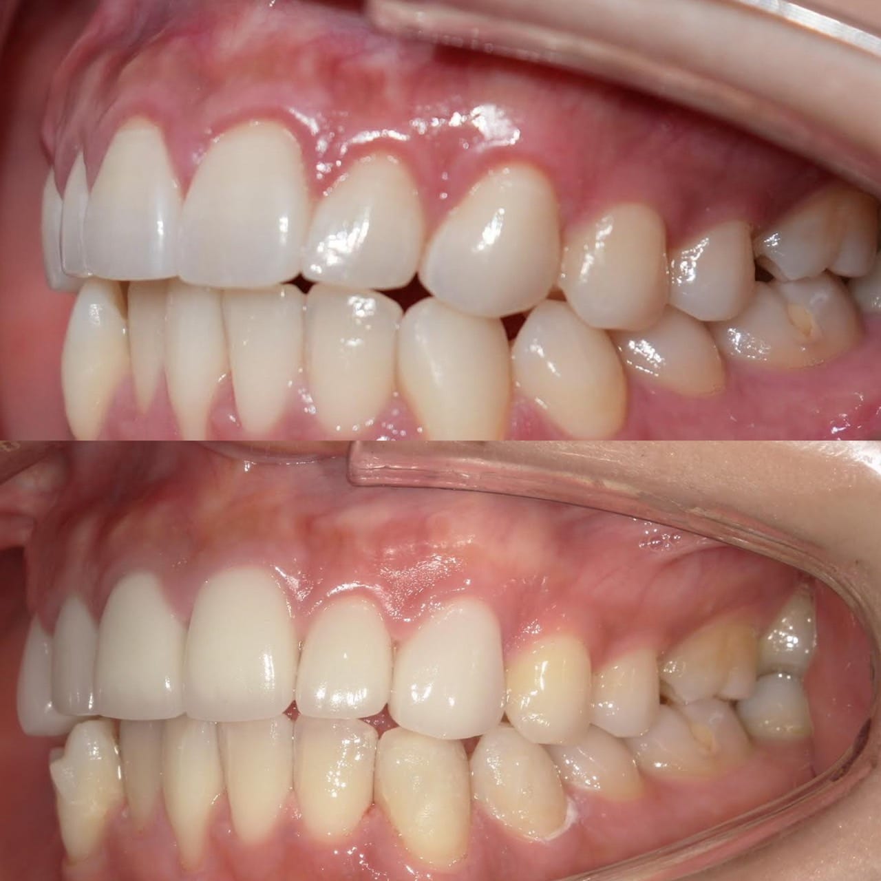
セラミック矯正症例集(ビフォーアフター)

より多くの症例をこちらのページでご紹介しておりますので、合わせてご覧ください
恵比寿の歯科・歯医者 さとうデンタルクリニックの症例集

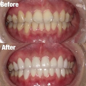
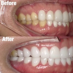
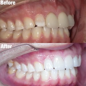
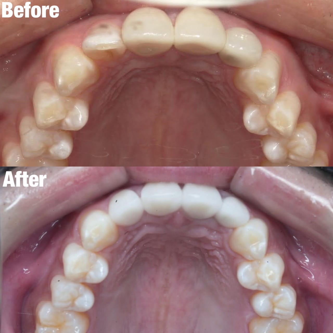
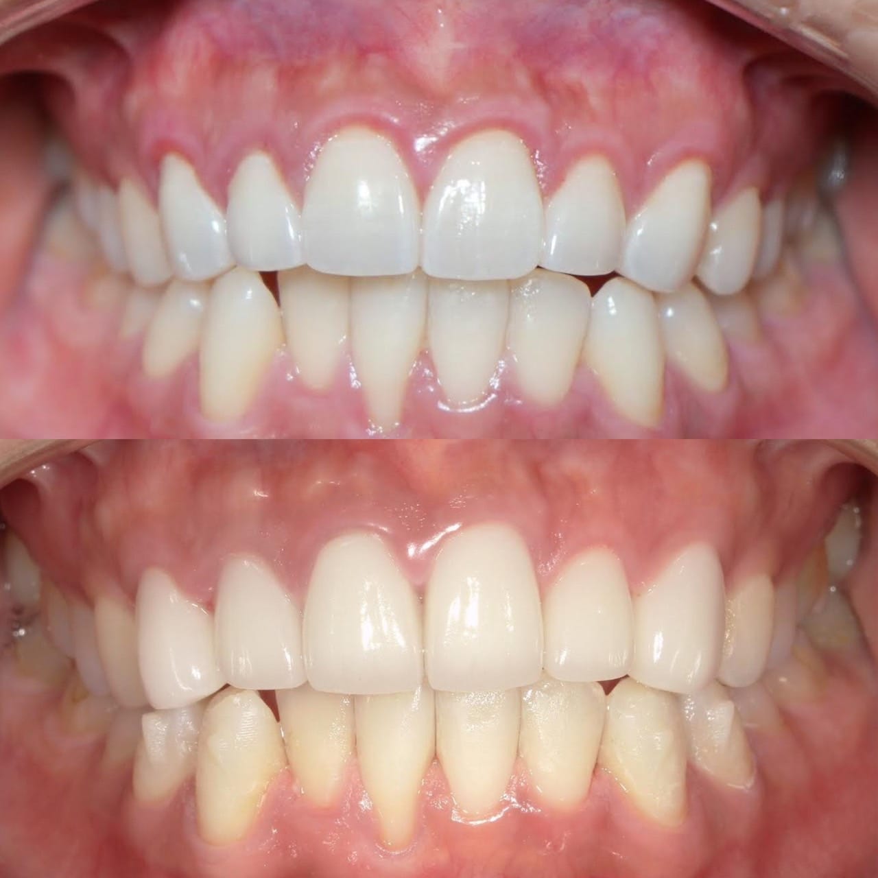
Case034

広島からの患者様です。
前歯を綺麗にしたい。インプラントをしたい。
という主訴で東京の歯医者をいろいろ調べて当院を選んでくださいました。
毎回、遠い中しっかり通ってくださり、選んで頂けた嬉しさと、その気持ちに応えたいという想いで診療させて頂きました。
前歯はご希望のお色でラミネートベニアでは出せない透明感のあるセラミックに上下左側7はインプラントをさせて頂きました。
左上は破折で温存不可。
骨も少なかったので、サイナスリフトも行い計五回の来院で被せ物を入れさせて頂きました。
左下は前回のクリニックでの埋入位置が深すぎて食べカスも毎回詰まる、セルフメンテナンスではら汚れも取れない。インプラント周囲炎にもなっていたので、一度前のインプラントを除去し、そこから新しくインプラントを埋入し、診療させて頂きました。
インプラント、歯並び、審美歯科にご興味のある方はいつでも相談にお越しください。

担当 理事長 佐藤 悠野

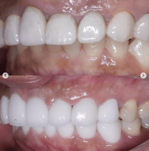
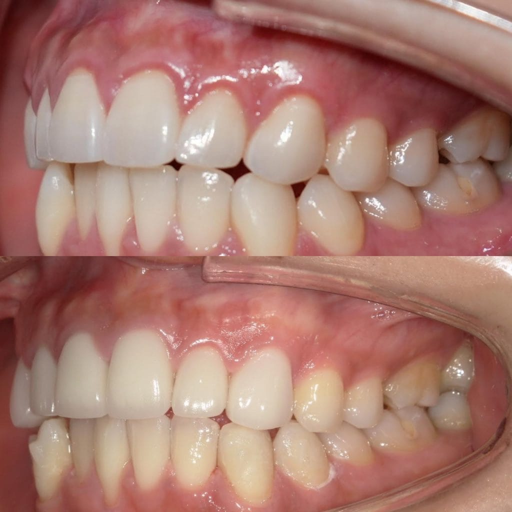
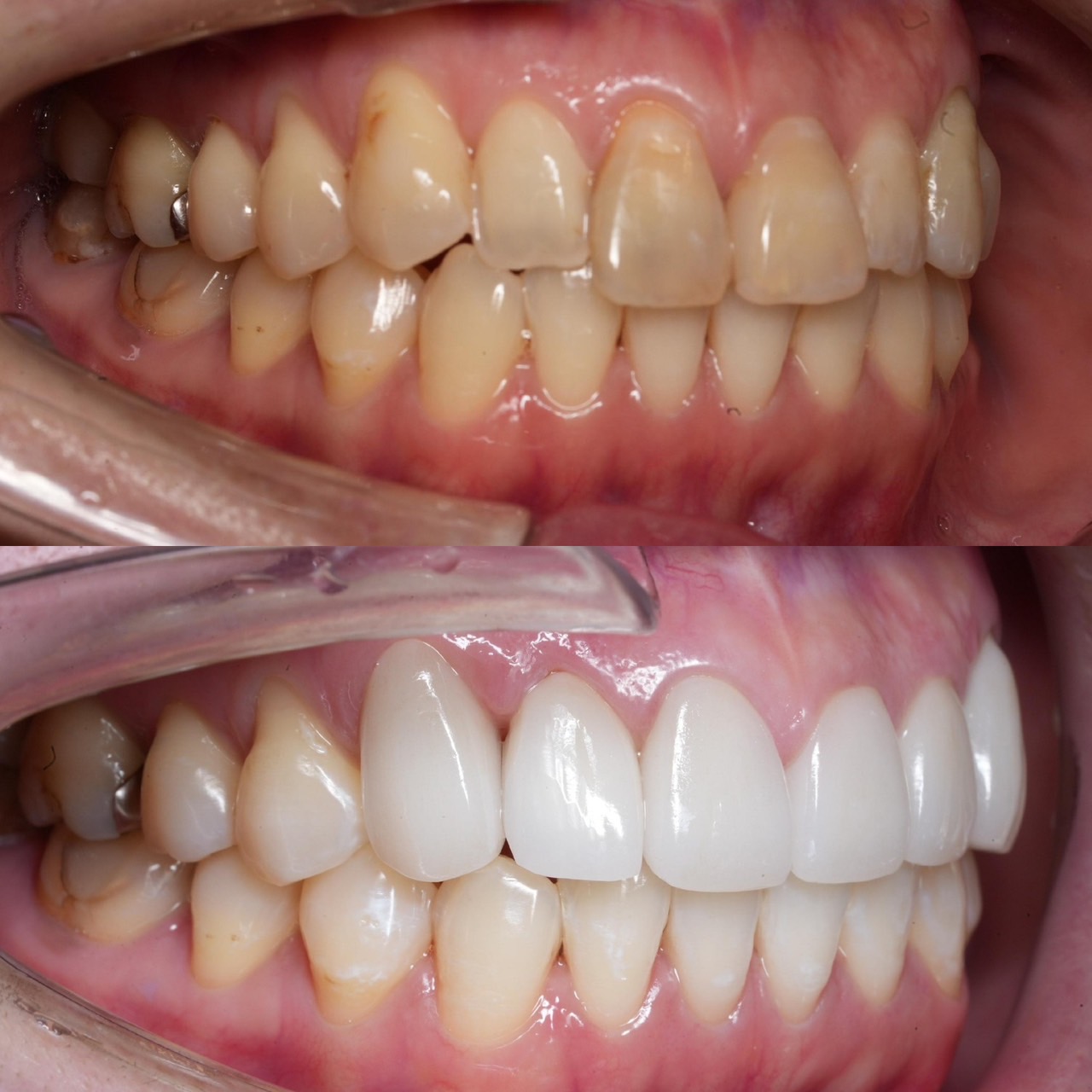
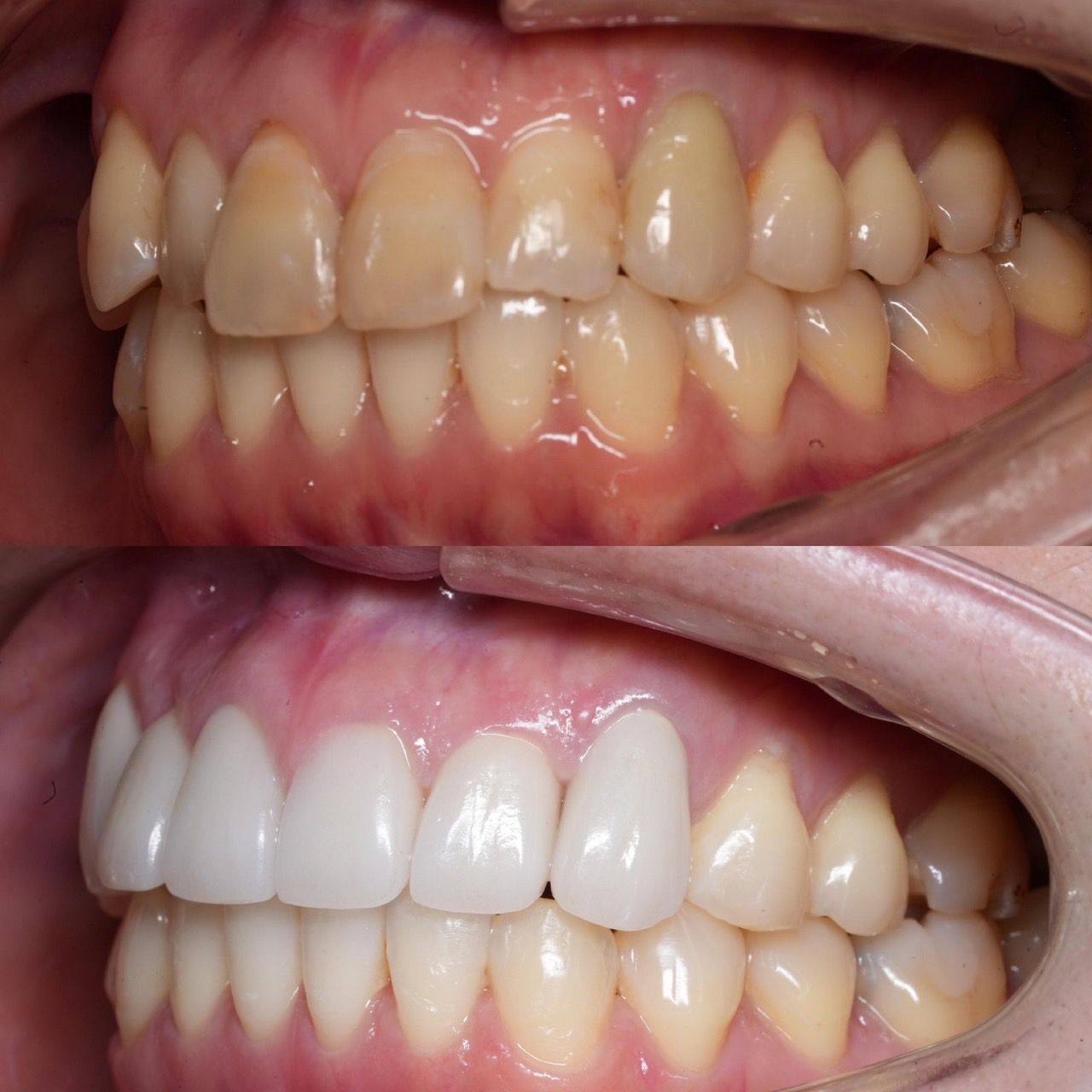
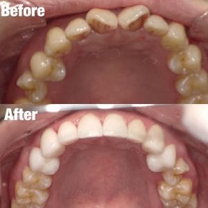
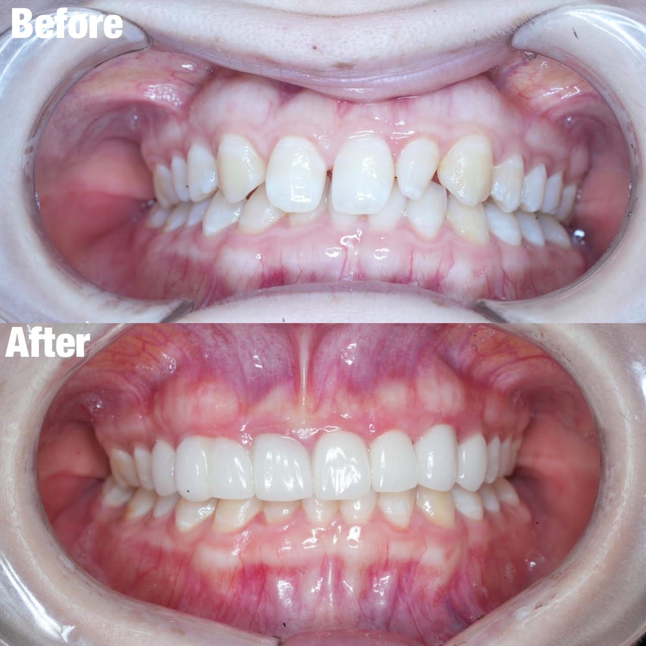
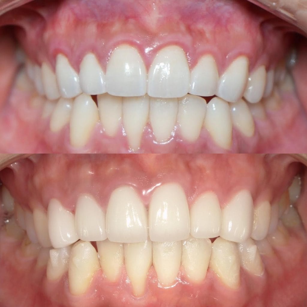
Case033

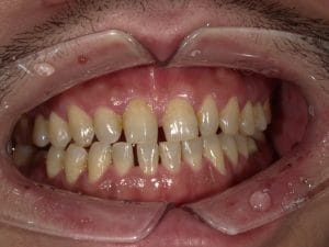
前歯が虫歯なのと、保険のプラスチックで大きく治療されていて色が悪いこと、歯並びが出っ歯気味であることを気にしてセラミックにしたいという主訴で来院された患者様です。
虫歯が大きかったところは神経治療をきちんと行い、
初診時を含めてトータル4回のご来院で完了です。
今回は前歯を下げる、歯列を整える、白すぎず自然に綺麗に見える色というご希望に沿って治療しました。
ご興味のある方はいつでもご相談ください。

担当 理事長 佐藤 悠野

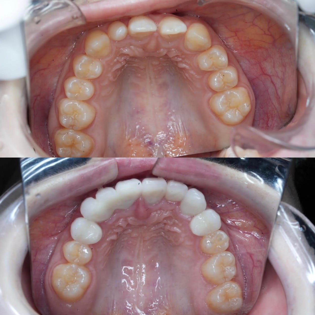
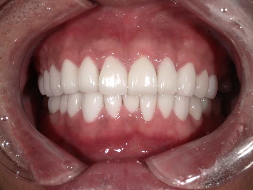
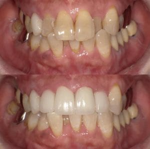
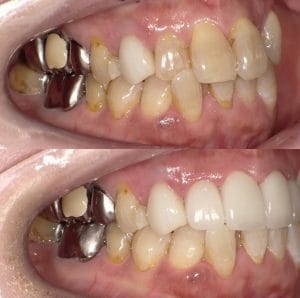
Case032

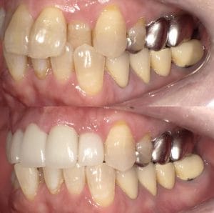
メジャーリーグでも活躍した元プロ野球選手の山口俊さんのセラミック治療を担当いたしました。
「他院で治療を受けたセラミックが欠けた」というのが主訴でしたが、よく診察するとセラミック欠けただけではなく、被せ物がしっかりと合っていないことが原因で歯茎の腫れがあり、歯石や汚れもつきやすい状態でした。また、歯列も若干歪んでいたので、この機会に全て治療いたしました。
治療後は透明感のある白さで、綺麗な歯並びになりました。また、セラミックをきちんと綺麗に削って適合よくセットしたことにより、歯茎の腫れも改善しました。

セラミックを入れた所の歯茎が腫れていて悩まれてる方はぜひご相談ください。
綺麗に削って適合よくセラミックをしてあげれば必ず改善します。

Case031

歯が欠けていて、隙間がある。
歯並びが気になる。
亀裂が入っている。
歯の無いところがある。
見える銀歯が気になる。
綺麗な口元になりたい。

という患者様の診療です。

上はジルコニアセラミックでかけているところを修復しながら、綺麗な歯並びで、患者様のお好きな白い歯に。
下の歯の無い所にはインプラント。
見える銀歯は外して綺麗な歯に修復。
また、ホワイトニングをして上の歯との色のギャップを少なくして、明るい口元にしました。

 
 

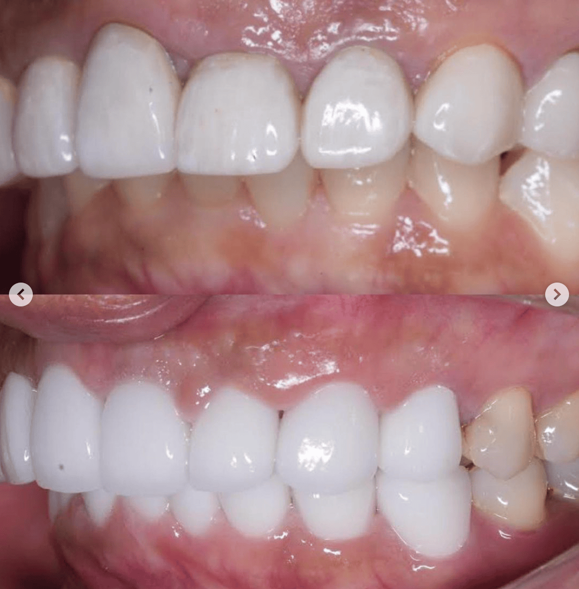
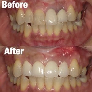
Case030

他院で実施したセラミック矯正の再治療を希望された患者様の症例です。

■色をもっと透明感のある白にしたい。
→当院自慢の一流技工士による最高品質ジルコニアセラミックにて透明感のある白へ
実際は写真でみるよりももっと透明感があります。

■前歯の歯の長さが違うのを治したい
→レーザーによる歯肉整形術で均等な歯の長さへ

■出っ歯に作られている前歯を引っ込めたい
→施術を担当した理事長の形成により、内側に入れるデザインにして洗練された口元へ。これによりEラインも整います。

■歪んだ歯並びを綺麗に
→施術を担当した理事長による形成、印象と技工士との連携により綺麗な歯並びへ

■タバコを吸ってた頃のヤニのついた黒くなってしまった歯茎が気になる
→レーザーによるメラニン色素除去でピンク色の歯茎に戻して若々しい印象へ

Case029

セラミック矯正の患者様です。
・上下の歯の入れ違い
・正中の歪みと隙間
を主訴にご来院くださいました。

この患者様は若年性歯周炎にかかってしまったため、一生懸命に歯を磨き、口の中は綺麗なのにも関わらず歯茎が下がってしまい、隙間が出来てしまっています。
これは矯正治療で歯の並び方を変えても絶対に無くなりません。

そのため、患者様の主訴を叶えるためにセラミック矯正で治療計画を練りました。
前のクリニックでは「上下一本ずつ抜糸してブリッジで矯正する」という計画だったようですが、
・患者様が非抜歯を希望されていること
・歯を抜かなくても綺麗に並べられそうだったこと
を理由に、当院では上は抜かずにセラミック。下は形態修正だけで対応しました。
この方針変更だけでもお値段も安く、また侵襲(ダメージ)を少なくすることができました。

治療の結果、最低限の侵襲で、見違えるほど綺麗な口元に治療することができ、患者様もとても喜んでくださいました。

主訴とご希望によって、ワイヤー矯正、マウスピース矯正、セラミック矯正のどの矯正が適しているかは異なります。
当院では上記全ての治療法に対応することができるので、主訴とご希望に沿った方法で治療することが可能です。
カウンセリングにてご希望をお伺いした後、一つ一つの治療の違い、当院のおすすめをご紹介いたしますので、ご希望の治療方法をお選びいただけます。
歯並びなどお口元にお悩みのある方、より綺麗な口元になりたい方はぜひ一度ご相談ください。

【主訴】
・上下で入れ違っている前から2本目の歯のすれ違いを治したい。
・清潔感のある白さで明るい綺麗な口元にしたい
・歯の隙間を無くしたい

【ご要望、ご状況】
・歯を抜かずに治したい
・前医では上下1本ずつ抜歯をして、ブリッジで上3本、下3本の計6本を治すことを提案された。

【今回の治療法】
・右上の犬歯から左の前歯までの計4本をジルコニアセラミックで治療
・色は自分の歯よりやや白いくらいでホワイトニングをしてもしなくても大丈夫なくらいの白さ
・歯は抜かない
・右下の歯は形態修正だけで対応
・歯茎のラインを歯肉整形術で整える

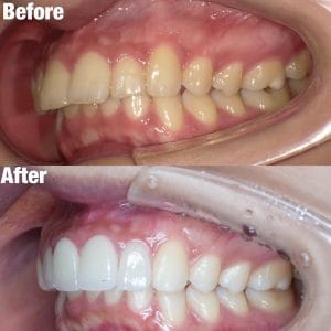
Case028

・歯茎のラインが合わなくなってきた
・色をもっと綺麗にしたい
・ルックスを良くしたい

という主訴でご来院の患者様です。
理事長が3年前にセラミック矯正を担当した患者様の歯を見て、綺麗だと思ってくれて来院してくださいました。

前医で入れたセラミックのところだけではなく犬歯も歯茎が下がっていて、歯が痩せて見えていたので、被せ物の形と、歯茎のラインの設定で若々しく、綺麗に見える口元にしました。

 

 

Case027

・すきっ歯を治したい
・前歯を引っ込めたい
・色も綺麗にしたい
・短期間で終わらせたい

ということで、セラミック矯正をお選びいただいた症例です。

【治療回数】 初診のカウンセリング含めて3回
【治療期間】 初診から3週間

Case026

モデルのお仕事をされている患者様の症例です。
・顎が小さい
・右側の前から二番目の歯が生まれつき生えてない
・右側の前から二番目の歯が矮小歯(普通の方より歯がやせ細ってしまう状態)のため隙間が空いている
・歯並びが歪んでいる
という状態を悩んでいらっしゃいました。

・矮小歯は矯正で並び方を整えても矮小歯のまま
・矯正しても左右の歯の本数が揃わない
また、患者様のご要望として、
・短期間で治療を終わらせたい
ということでセラミック矯正で治療することにしました。

【来院回数】
初診のカウンセリング込みで3回。
ジルコニアセラミック8本で治療しました。

もともと綺麗な方でしたが、口元が洗練されたことでさらにお綺麗になられたかと思います。
ご本人もとても喜んでくださりました。
口元にお悩みがある方はぜひご相談ください。
矯正の方が主訴にあってる方には、矯正治療も行なっています。
まずは一度ご相談ください。

Case025

他院ですでに3本セラミック治療を行っている男性の患者様です。
歯並びと色を変えたいということで当院にお越しくださいました。

・透明感のあるセラミックに変更
・前に出ている歯を内側に入れてスマートな印象に

したことにより、とても洗練された口元になったと思います。
この白い色もとてもお似合いの方で、治した私もセット後に思わず「似合いますね」と言ってしまいました。

当院はセラミック矯正だけではなく、マウスピース矯正、ワイヤー矯正と全ての治療メニューを用意しております。
患者様の主訴と悩み、治療費にかけられる費用と期間をお伺いし、ご要望に合う治療方針をご提案、ご相談しながら決めています。

この方の場合は
・既に歯を3本削られている
・前医で入れた大きなセラミックは矯正しても小さくはならない
・色を変えたい
以上の理由でセラミック矯正を選んでおります。

Case024

もともと他院でインビザラインをしていた患者様の症例です。
「インビザラインをしたけど、思ったより前歯が下がらなかった」という理由でご来院くださいました。
「歯を小さくしたい」というご要望をお持ちでしたが、矯正ではもともとの歯の大きさを変えられないため、
当院にて上の前歯4本をジルコニアセラミックで治しました。

前歯を大きく下げることができたので、口元が洗練されたのはもちろんEラインの改善にもなりました。
また、色もホワイトニングのジルコニアセラミックを組み合わせることで、明るく綺麗な口元になりました。
さらに、左下の銀の詰め物を、ダイレクトボンディングで白く治しています。

治療回数 初回カウンセリング込みで3回
治療期間3週間

1回目 カウンセリング+仮歯の型取り
2回目 セラミックの型取り+仮歯のセット
3回目 完成

Case023

噛み合わせから審美的なところまで、トータルで治療させて頂いた患者様です。
ここまでやるとなると、できないクリニックもありますし、できるところでも年単位でかかってしまうクリニックが大半だと思いますが、今回は4月末にカウンセリングでご来院いただき、5月に治療をスタートして9月末には診療が終わっています。
治療回数や、治療期間がかかってしまうと、患者様も通院が辛くなったり疲れてしまったりしてしまうと思います。どんどん綺麗になっていく、食事がしやすくなっていくという実感がある方が患者様に楽しく治療に臨んでいただけると思うので、私は診療のスピード感を大切にしています。
トータルでやらせていただいたので、噛み合わせなどの機能面から外見などの審美性もかなり良くなり、患者様にも満足して頂けてよかったです。

治療期間 約4ヶ月

Case022

「歯の長さが短い、歯並びが歪んでる、表面が平面でカッコ悪い、歯茎が腫れている」ということを主訴に来院くださった患者様です。
セラミック矯正は歯科医の技術、センスで仕上がりが全く違うため、審美歯科の中でも担当する歯科医によって最も大きな差の出る診療です。
また、歯並びだけではなく顔貌(お顔立ち)まで綺麗にすることができる診療です。
歯茎の腫れは綺麗に歯を削り直して、正確に型を取り、
精密に作られたセラミックを適合よくセットしてあげることで、前医で入れてから1年以上腫れ続けてた歯茎が1週間で綺麗なピンク色に治りました。
形や並びに関しても、まず歯科医師が「どのような形にするか、どのように並べるか」をイメージしながら綺麗に削ることから始まります。
患者様の主訴通りに綺麗にできて喜んでいただきました。
当院では、患者様の主訴と、治療にかけられる費用、期間によって、ワイヤー矯正、インビザライン、インビザラインGo、セラミック矯正の中から治療法の特徴などをお話しし、その患者様に最適な治療を提案させて頂いております。

  

Case021

口腔内を全体的に治療させて頂いた患者様の症例です。

もともと透明感の無い大きなセラミックが入っていた前歯に、透明感がありスマートな形のセラミックを入れました。また、歯茎のラインにも違和感があったため、今回の治療で治しています。
セラミックと歯茎の境目が綺麗になるかどうかは歯科医の腕次第ですが、とても綺麗にできたと思います。
また、インプラントなどで奥歯の噛み合わせも治療いたしました。
前歯の審美性にご満足いただき、以前より食事がしやすくなったとお褒めの言葉を頂きました。

当院では噛み合わせなどの機能面や審美性を考えた上での全体的な治療が可能です。


Case020

ジルコニアセラミック4本のみで歯列を綺麗にした症例です。
出っ歯になっていた前歯を内側に、奥に引っ込んでいた前歯を外に出しました。
歯の神経の位置にも恵まれていたので、神経も全て残存できています。
前歯の歯列が変わることで、かなり外見の印象も変わりました。

治療期間 2週間
治療回数 2回
1回目 歯を削る、型をとる、仮歯を入れる
2回目 ジルコニアセラミックをセット


Case019

ずっと歯を治したかったけれど、時間がなくてできなかった方がようやく時間が取れるようになり、今回はしっかり治したいということで、ご来院頂けました。

初診時は全く噛めないくらい噛み合わせも悪くなってしまっていたのと、骨がないためにインプラントをするにも難しい状態でしたが、外見も爽やかに、食事も気にせず肉でも何でも噛めて、健康的な状態を目指して治療しました。

歯が綺麗になっていくにつれて笑顔も増えて、どんどん若々しくなっていくのを見てると歯科医としての仕事に本当にやりがいを感じました。

担当 理事長 佐藤 悠野

Case018

お医者様の患者様です。
左上の奥歯を「抜くしかない」という診断は受けているため、インプラントをやりたいけど、骨がなく難しい症例であるため、サイナスリフトが上手なところで治療を受けたいという主訴で当院にお越しくださいました。
インプラントが終わった後、前歯の表面が削れていて染みるという点、角度が出ていて、ほうれい線も出やすいという点も気にされていたので、セラミック矯正で前歯の歯並びを治しました。その結果、ほうれん線もかなり目立たなくなりました。もちろん歯の見栄えもよくなりました。
引き続き、左下のインプラント治療も継続させていただきます。
また、上の奥歯の抜歯をして、インプラントにしたところ、蓄膿も治ったそうです。
歯のせいで蓄膿が起きることもよくありますので、歯科医への受診もおすすめします。

担当 理事長 佐藤悠野

Case017

歯が欠けてしまったことと、出っ歯を主訴に福岡県から来院してくれた患者様です。
内側に綺麗に入れたことで、口が締まりやすくなり、口元がスッキリしました。
当院には全国からインスタグラムや雑誌、ネットを調べてくれた患者様がご来院くださっております。
はるばる遠方から来てくださる患者様に「ここまで来てよかった」と満足してもらえる診療を行えるよう、今後も精進していきます。
歯の色は自然な色から白いものまで選べます。

来院回数
カウンセリング込みで3回

治療期間 3週間

Case016

前歯の審美歯科から、奥歯の虫歯診療、歯がないところのインプラント治療まで口腔内を全体的に当院で治療させて頂いた患者様です。
外見もとても綺麗になり、奥歯でも物を噛めるようになってとても喜んで頂けました。


担当 理事長 佐藤悠野

Case015

前医の被せ物のやりかえを希望された患者様の症例です。

色と形が悪く、汚く見えてしまうという主訴でご来院。
「可能な限り費用を抑えながら、口元が綺麗に明るく見えるようにしたい」というご希望だったので、通常は左右対称の本数で治すことが多いのですが、今回は左上の1番目から右側の4番目までの5本の治療としました。

その場合、一番気をつけなければならないのは色の選択です。

色を左の歯よりも明るくしすぎてしまうと、左右非対称に見えてしまうため、明るくしすぎることはできないし、せっかく治療をするのに綺麗に見えない色を選択するのももったいないです。

同じ白色でも「透明感のある白」と「マットな白」では色の浮き方が全く違います
当院では、白さを追求しながらも透明感のある高品質なセラミックを使用しているため、自分の歯より白いものを使用しても、色が浮かずに全体的に明るく見えるようになっていると思います。


治療回数3回(初回カウンセリング含む)

担当 理事長 佐藤悠野

Case014

「開咬」の方の審美治療です。
「開咬」とは文字通り、しっかり噛んでも前歯が咬み合わず、隙間ができてしまう咬みあわせのことをいいます。
この状態だと、上の歯が出ていなくても、出ているように見えてしまったり、いつでも口が開いているように見えるため、口元の洗練さが落ちてしまいます。

今回はセラミック矯正で治療させて頂きました。
笑顔の時に口が開いているように見えてしまっていましたが、洗練された笑顔になりました。

担当 理事長 佐藤悠野

Case013

お医者様の患者様です。
「上下額前突、歯の傾斜が出ていて口元が出てしまっている」ことが主訴の患者様の症例です。
歯の大きさも気にされており、小さくしながら色も綺麗にしたいということでセラミック矯正をご提案しました。
治療の結果、口元が下がることで閉口筋が活発になり、お顔の印象も変わりました。
【治療回数】
3回(初診カウンセリング含む)

【治療期間】
3週間

担当 理事長 佐藤悠野

Case012

前医で根切という外科的な根の治療を受けていましたが、それがうまくいっていなく、また膿んでしまっている方の再治療をおこないむした。根切のやり直しは非常に難しいのですが、膿んで溶けてしまっていた骨の再生も確認できて経過は良好です。
またセラミックも新しく綺麗にして、歯茎の黒ずみも消失しています。
治療回数
3回(写真カウンセリングを含む)

担当:理事長 佐藤悠野

Case011

お医者様の患者様です。
左上の奥歯は抜くしかないという診断を受けており、「インプラントをやりたいけど、骨が無いために難しい症例であるため、サイナスリフトが上手なところで治療を受けたい」という主訴で当院に来ていただけました。
インプラントが終わった後、「前歯の表面が削れていて染みる」ということと、「角度が出ていて、ほうれい線が出やすい」ということを気にされていたので、セラミック矯正で出っ歯を治療しました。
治療から三ヶ月経ちますが、ほうれん線もかなり目立たなくなりました。もちろん歯の見栄えもよくなりました。

また最初の主訴の上の奥歯の抜歯をして、インプラントにしたら蓄膿も治ったそうです。
歯が原因で蓄膿が起きることもよくありますので、歯科医への受診もおすすめいたします。

担当 理事長 佐藤悠野

Case010

欠損部のインプラントと審美歯科を両方させて頂いた患者様です。
とても喜んで頂けました。
自然な噛み合わせと、審美性の両方を追求した症例です。

担当:理事長 佐藤悠野

Case009

前医でマウスピース矯正をしたものの、うまくいかなくて当院にお越しくださった患者様です。
もう時間をかけたくないとの主訴だったので、マウスピース矯正ではなくセラミック矯正で治しました。
クリーニング+セラミック矯正+ホワイトニング
来院回数 3回(初回のカウンセリング含む)
初診時よりとても綺麗になって満足して頂きました。

担当:理事長 佐藤悠野

Case008

前医でマウスピース矯正を試してみたものの上手くいかず、当院にお越しくださった患者様です。
もう時間をかけたくないとの主訴だったので、マウスピース矯正ではなくセラミック矯正で治療しました。
初診時よりとても綺麗になり、満足して頂けました。
クリーニング+セラミック矯正+ホワイトニング
来院回数 3回(初回のカウンセリング含む)

担当:理事長 佐藤悠野
かぶせもの:セラミック
治療費:687,500円(エアフロー+セラミック矯正+ホワイトニング)

審美歯科のメリット・デメリット(リスク)などの詳細はこちら
料金はこちら

Case007

他院でやったもののやり直し症例です。縦のラインが歪んでいたものをまっすぐに治して、歯が少し出っ歯になって長くなってしまっていたものを中に入れて、歯の長さも短くしてよりスマートで洗練された口元にしました。患者様にも喜んで頂けました。
また被せ物と歯の境目も前のものは浮いてしまっていて、汚れも入りやすいし、外見も汚く見えてしまうのを治して綺麗にしました。

歯並びの縦の歪み → まっすぐ綺麗に
出っ歯で長い歯 → 中に入れて短くスマートに
歯の境目が浮いている → 歯茎の中に境目を設定してより自然に


担当:理事長 佐藤悠野
かぶせもの:ジルコニアセラミック
治療費:2,640,000円〜3,520,000円

[メリット]
自分の好きな色、歯の形を選べる
自分の歯よりも着色や汚れがつきにくくなる
[デメリット]
高額である
削ることで一時的に歯がしみたり痛みが出る可能性がある
術者のレベルによって仕上がりに差が出る

審美歯科のメリット・デメリット(リスク)などの詳細はこちら
料金はこちら

Case006

審美歯科の症例です。
【患者様の主訴】
・歯を小さくしながら、出っ歯を治したい。
・歯の色も白く、形も綺麗にしたい。
【治療方法・期間】
・ジルコニアセラミックによる審美歯科
・来院回数 3回
・治療期間 20日
・治療費:1,920,000円〜2,560,000円

患者様にはとても喜んで頂けて、歯科医として仕事をしてる私にとっても嬉しかったです。

担当:理事長 佐藤悠野
かぶせもの:ジルコニアセラミック

[メリット]
自分の好きな色、歯の形を選べる
自分の歯よりも着色や汚れがつきにくくなる
[デメリット]
高額である
削ることで一時的に歯がしみたり痛みが出る可能性がある
術者のレベルによって仕上がりに差が出る
Before写真の上顎中央にあるような、大きく向きを変えなければならない歯がある場合、歯の神経を取る必要がある場合がある

審美歯科のメリット・デメリット(リスク)などの詳細はこちら
料金はこちら

Case005

歯と歯の隙間が空いている状態をセラミック矯正で治療した症例です。

  

担当:理事長 佐藤悠野
かぶせもの:ジルコニアセラミック
治療費:2,400,000円〜3,200,000円

[メリット]
自分の好きな色、歯の形を選べる
自分の歯よりも着色や汚れがつきにくくなる
[デメリット]
高額である
削ることで一時的に歯がしみたり痛みが出る可能性がある
術者のレベルによって仕上がりに差が出る

審美歯科のメリット・デメリット(リスク)などの詳細はこちら
料金はこちら

Case004

セラミック矯正を患者様の好きな白さのセラミックで行い、歯並びと色を綺麗にしました。歯茎のラインも自然にできています。
最近選ばれることが多いかなり白いのに透明感がある色です。

担当:理事長 佐藤悠野
かぶせもの:ジルコニアセラミック
治療費:1,680,000円〜2,240,000円

[メリット]
自分の好きな色、歯の形を選べる
自分の歯よりも着色や汚れがつきにくくなる
[デメリット]
高額である
削ることで一時的に歯がしみたり痛みが出る可能性がある
術者のレベルによって仕上がりに差が出る

審美歯科のメリット・デメリット(リスク)などの詳細はこちら
料金はこちら

Case003

「昔から歯並びが気になっているので治したいが、もうすぐ海外に行くので時間がない」
「可能な限り安く、できるだけ自分の歯は削らないで綺麗に見えるようにして欲しい」
という患者様の症例です。

【治療内容】
上4本下4本 オールセラミッククラウン
【治療期間】
1ヶ月
【治療費】
840,000円





担当:理事長 佐藤悠野

[メリット]
自分の好きな色、歯の形を選べる
自分の歯よりも着色や汚れがつきにくくなる
[デメリット]
高額である
削ることで一時的に歯がしみたり痛みが出る可能性がある
術者のレベルによって仕上がりに差が出る
Before写真にある下顎の最も前に出ている前歯を矯正なしで治療するために、神経をとる必要があった

審美歯科の詳細はこちら
料金はこちら